在医疗技术迅猛发展的今天,超声医学科已从过去的影像诊断发展到现在的微创介入手术治疗,可谓是发生了翻天覆地的变化。
中国基层网讯(通讯员:李延娜 王娜 白宝艳) 2021年11月17日,在延安大学附属医院超声医学科帮扶专家白宝艳主任的指导下,超声引导下肿瘤消融术正式走进黄龙县人民医院手术室,超声医学科与外科、妇科、手麻科等多学科联合协作下顺利为4名患者成功实施子宫肌瘤、甲状腺结节等疾病的射频消融手术,此项手术的成功开展,开启了延安市县级医院肿瘤消融技术的起点,同时也启动了陕西省县级医院在子宫肌瘤射频消融手术的新征程。



实施手术的四例患者均为黄龙本地人,发现甲状腺结节、乳腺结节及子宫肌瘤多年,多次就医建议外科手术切除,因患者及家属考虑外科手术创伤大,术后恢复慢,术后瘢痕等并发症拒绝外科手术,因此常年饱受疾病困扰,患者通过医院发布的延大附院超声医学科白宝艳主任介绍及相关业务宣传得知结节、囊肿和肌瘤等还能超声微创治疗,随即在家属陪同下怀揣希望来到黄龙县人民医院就诊。
为消除患者及家属紧张情绪和顾虑,白宝艳主任详细讲解了超声引导下肿瘤消融术相较外科手术治疗的优点和临床中的广泛应用,最终患者及家属同意接受肿瘤消融治疗。医院对此次手术高度重视,为确保手术安全顺利完成,召集相关科室人员召开协调会,安排部署,同时积极给与设备、耗材等大力支持。有了医院和各科室支持与配合,立即安排患者住院,随即进行术前各项检查,白宝艳主任组织相关科室针对每位患者自身和疾病情况做了细致的术前评估,确定符合手术指征,完善手术流程及告知事项,经患者及家属签署知情同意后,超声医学科、妇科、外科、手麻科多学科协作配合下严谨、有序开展手术,超声引导下精准定位后,将射频电极穿刺入肿瘤内,启动电极调整功率开始消融,用时最短3-5分钟,完成肿瘤消融治疗,术后即刻复查超声造影显示消融灶内部无造影剂充填,消融区域完全覆盖原病灶。术中无明显出血及其他并发症发生,整个手术过程用时短、无麻醉风险、伤口出血不足5ml。患者术后在医师及护士的陪同下返回病房,手术结束后,医生随即来到病房查看患者,询问患者术后感受,患者自述无明显疼痛与不适,对前来查看病情的医务人员表示感谢,激动地说道:“被疾病折磨了多年,又怕做手术,听说县医院来了延大附院超声医学科专家,做B超就能把肿瘤、结节消灭,说实话内心不是很相信,一直以来做B超都是检查病,查出问题找医生看,要手术就要住院开刀,花钱不说人受罪,一住院啥也干不成,术前白主任讲了射频消融术的优点和临床广泛应用,说实话迷迷糊糊也不是很明白,但看到那么多的成功病例,我相信县医院,果不其然,抽了一天时间就把我多年的疾病困扰解决了,现在算是清楚知道了啥是超声微创治疗了”。在场的医务人员听到患者这么说内心很是欣慰,超声微创治疗能够得到患者的认可是对我们工作最大的鼓励。
患者及家属对此项微创手术治疗很是满意,向医务人员表示感谢,同时对医生技术水平、服务态度和整个就医感受给予很高的评价和认可。患者从入院手术到出院整个过程只需短短三天时间。

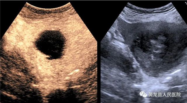
子宫肌瘤术前造影

子宫肌瘤术后造影

甲状腺结节术前造影

甲状腺结节术后造影
射频消融术与传统外科手术相比较优点显著:伤口小(针眼大小)、用时短,整个手术过程最短仅需几分钟,患者痛苦小,基本无疼痛不适,无麻醉风险,且出血量极少最多不到5毫升,且患者术后即可自行下地走动,可谓安全、便捷、经济、微创,为更多有需要的患者提供先进和高效治疗选择。

据悉,此次手术为国家卫健委四级手术管理综合介入诊疗技术,也是陕西省内县级医院首例子宫肌瘤射频消融术。同时,此项手术也是延安市县级医院首家超声引导下肿瘤消融术,开创了延安市县级医院肿瘤消融技术的先河。今后,医院也将以微创治疗为基石,全面带动医院整体医疗水平更快更好发展,进一步提高黄龙县人民医院超声医学科在全市县域内超声介入业内的影响力。
白宝艳主任帮扶简历

2021年9月6日,延安大学附属医院超声医学科派驻帮扶专家白宝艳来到黄龙县人民医院超声医学科开展医疗工作,白主任的到来开启了黄龙县人民医院超声介入的大门,县医院领导高度重视,一路绿灯全力支持配合专家在院期间工作的顺利开展,包括引进新业务、开展新技术,医院大力宣传,让广大群众了解白宝艳主任在我院坐诊时间、地点,在超声介入方面擅长项目,包括各部位囊肿硬化治疗、置管引流、肝癌、子宫肌瘤、子宫腺肌症,子宫内膜异位症,甲状腺结节、乳腺结节等疾病的热消融治疗,白宝艳主任来院坐诊短短3个月以来先后完成20余例超声引导下诊疗术,包括:超声引导下囊肿硬化、 超声造影、置管引流术等。繁忙的工作之余,为了进一步提高黄龙县人民医院医务人员对超声科开展新业务、新项目专业解读,普及超声引导下为患者实施微创手术治疗方式和介入治疗的理念,为临床医生解决更多问题,更好的为患者提供服务,白宝艳主任精心准备课件,为全院医务人员开展题为超声技术的发展及介入超声的临床应用培训讲座,同时,为了使更多群众了解和选择超声引导下微创手术,白宝艳主任做客医院官方抖音科普讲座“健康微课堂”为大家详细讲解更多关于超声引导下微创治疗的知识。超声微创治疗术的成功开展为全县患者带来福音,微创治疗经济实惠,真正使患者受益。
值得一提的是帮扶结束后,白宝艳主任将会一如既往支持、帮扶黄龙县人民医院超声科更快更好发展,在人才培养、技术资源等方面持续为医院提供帮助,“医联体”搭建健康平台,在省市级专家扶持下,县医院医师整体水平和医疗技术发展迅猛,不断开展新业务、引进新技术,解除患者病痛,为全县群众身体健康提供更加优质、高效、便捷医疗服务。

射频消融术科普
射频消融技术,实际上是一种物理热消融,因没有药物毒副作用,现已被广泛的应用于各种肿瘤治疗,主要特点痛苦小、创伤轻、疗程短、恢复快、并发症少、住院时间短,另一优点是在影像引导下用穿刺来完成的,相对来说整个手术全程是在可视、可控、精准、损伤易控、安全性高等优点下完成的。精准微创,对患者邻近的结构组织影响比较小,相对安全性较高。在尽量保留组织结构和功能的同时又可以反复对局部复发病灶进行局部及转移癌灶消融治疗,可重复性高。
肿瘤射频消融主要适用于良、恶性实体瘤的治疗,具体如下:
1. 大于2cm的良性甲状腺结节、多发结节可一次消融彻底。
2. 甲状腺微小乳头状癌(<1cm),不伴有影像学上可见的淋巴结转移。
3. 甲状腺癌术后复发,比如术后淋巴结转移可行消融治疗。
4. 乳腺良性结节,比如单反或多发乳腺纤维瘤(<3cm)。
5. 子宫肌瘤(<10cm)、子宫腺肌症的射频消融,可以保留子宫功能及盆底结构。
6. 原发或肾透析性导致的继发性甲状旁腺功能亢进。
7. 原发性肝癌(<10cm的原发性肝癌、伴或者不伴癌栓,消融为根治性还是姑息性需要个体化评估)、肝血管瘤(需要治疗者)、结直肠癌、乳腺癌的肝单发或多发转移灶。
8. 肾癌、膀胱癌、肾上腺癌、胰腺癌的治疗;腹膜后及腹壁、腹腔术后肿瘤复发的治疗。
9. 下肢静脉曲张的射频消融微创治疗。