

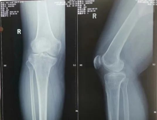
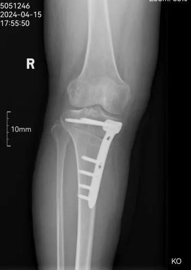
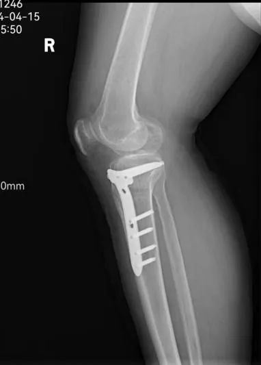
45岁的患者牛某,因5年前外伤致右胫骨平台骨折,未行手术治疗,伤后半年开始负重行走,致使右膝关节不稳定,且逐年加重。患者因右膝关节不稳定,不敢快速行走及下台阶,且摔倒数次,产生了恐惧心理。辗转多家医院后,均疗效不明显。 听闻“京长合作”首都医科大学附属北京积水潭医院每月定期派专家来长治二院骨科坐诊、查房、手术的医讯,主动要求北京积水潭专家手术治疗,近日来我院就诊要求住院手术治疗。 门诊经查体及阅读各项检查后以“右胫骨平台骨折畸形愈合”便收住院。 入院诊断: 1.右胫骨平台骨折畸形愈合 2.高血压病 住院期间,北京积水潭医院骨科吴宏华副主任医师结合查体及辅助检查,考虑患者畸形为关节外畸形,下肢力线向前内侧偏移,建议行胫骨内侧高位双平面截骨纠正对位及力线。考虑开放行双平面截骨,创伤较大,建议3D打印HTO截骨导板,在导报引导下行微创双平面截骨。在全身麻醉下在截骨导板引导下行截骨矫形术。 术后3天患者牛某持助行器下地行走,右膝关节不稳定感觉消失,恐惧心理消失,心情舒畅,对手术效果非常满意。 此次手术是在北京积水潭吴宏华副主任医师指导下,长治二院首次将HTO截骨技术应用于创伤骨科,是“京长合作”带给长治二院骨科发展的新动力,更为我市骨病患者带来的福音。 科室推荐 创伤骨科二病区隶属于长治二院骨科创伤专业,成立于 1978年建院之初,至今已历时 40 余年。创伤二病区现有开放床位 35 张,共有医师 10名(含返聘医师),护士 9 名。其中主任医师 1名,副主任医师 1 名、主治医师 6名、住院医师 2 名。 病区主任:李黎明,主任医师、长治市工伤医疗鉴定专家、北医三院进修学员,擅长复杂骨折的手术修复,尤其在骨盆骨折、关节周围骨折的手术治疗方面技术精湛。 创伤二病区诊疗疾病范围:肩胛骨骨折、肩(胸)锁关节脱位、锁骨骨折、肱骨近段骨折、肱骨干骨折、肱骨髁骨折、尺骨鹰嘴(冠突)骨折、尺桡骨骨折、桡骨远端骨折、各类型骨盆骨折、髋臼骨折、股骨头骨折、股骨颈骨折、股骨粗隆间骨折、股骨干骨折、股骨髁骨折、髌骨骨折、胫骨平台骨折、胫腓骨骨折、各类型踝关节骨折(韧带损伤)、各类型开放(闭合)性软组织损伤、陈旧性骨折不愈合、骨感染(骨髓炎)、内固定周围骨折、骨折非手术治疗、骨折康复指导等。 咨询热线 0355—3126025 主任医师 创伤骨科二病区主任 擅长复杂四肢骨折、骨盆骨折,脊柱骨折、颈椎病、腰椎管狭窄等的诊治。在肢体复杂损伤、脊柱退变疾病方面有较多深入研究。多次在北京、太原等省内外三甲医院进修学习,具有丰富的理论知识。 【学术任职】 长治医学院副教授、长治市骨科专业委员会委员、长治市足踝外科委员会委员、长治市医疗专家库成员,长治市工伤、司法鉴定专家组成员。在国家级省级专业杂志发表论文学术论文10余篇,在专业学术领域积累了丰富的临床经验。 医生推荐 徐彦芳 副主任医师 骨科学硕士 北京大学国内访问学者 【专业特长】 【学术任职】 咨询热线 李黎明主任 13097569000 徐彦芳医生 15635598825 供 稿丨徐彦芳 编 辑丨卞 晨 审 核丨雷 赫








■“长治市护理学会内科护理专业委员会康复护理专业学组康复护理新技术新进展研讨会”在长治二院举行
■山西医科大学第一医院神经外科脊柱脊髓病区主任刘晓东教授坐诊长治二院神经外科“博士创新站”
■惠民义诊 | 长治二院举办“5.29全球爱足日”义诊活动
■出诊信息 ▏长治二院5月27日—6月2日门诊医师出诊信息表

