
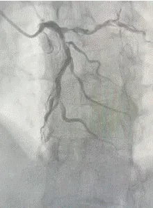
这是一篇迟来的报道,因为直到老申康复出院,我院心脏大血管外科全体医护人员悬着的心才真正放下来。 前段时间,61岁的老申因急性心肌梗死,差点告别人间.....在我院多学科的全力救治和心脏大血管外科的精心治疗下,老申幸运地逃离了死神的魔爪,重获新生。 01 心梗发作,血管几乎堵塞,还有救吗? 两年前,老申时常感到胸口像是有大石头压着一般,又沉又闷,尤其是活动后症状更加明显。老申觉得是自己过于疲劳,每次休息一会又好了。 可是最近三个月,胸闷发作越来越频繁,且时间逐渐变长,呼吸困难。老申意识到不对劲,急忙来到我院心血管内科。接诊医生详细询问病史后高度怀疑冠心病、心绞痛。 老申冠脉造影结果:右冠状动脉主干开口40%局限性狭窄,近中段-中段50-70%弥漫性狭窄,狭窄以远完全闭塞。左冠状动脉主干未见明显狭窄,前降支开口40%局限性狹窄,近段-远段30-90%弥漫性狹窄伴钙化。 心血管内科快速发起会诊,专家们集体讨论了治疗方案,一致认为老申血管多支病变,心功能较差,不适合放置支架,想要彻底解决问题只能进行冠脉搭桥手术。 02 心脏搭桥是唯一出路 老申入住心脏大血管外科后,完善相关检查发现还患有冠心病、窦性心动过缓、双肺肺气肿、主动脉及冠状动脉粥样硬化等多项病症,可谓是屋漏偏逢连夜雨…… 时间不等人。在副主任牛志高的带领下,我院心脏大血管外科紧急召开科室会议,决定了施行冠脉旁路移植(又名冠脉搭桥)详细手术方案。 在与家属进行充分沟通并取得同意后,老申的手术如期进行。 切开心包后,一颗因为严重缺血、颤颤巍巍跳动的心脏呈现在大家面前。本该柔软光滑的左、右冠状动脉仿佛老树枯枝一样僵硬、钙化、狭窄。心外科团队各司其职、密切配合。先用比头发丝还细的针线,将患者左乳内动脉吻合至前降支;再将大隐静脉的远心端吻合至升主动脉,后分别吻合至第一对角支动脉血管、第二对角支动脉及右冠状动脉,进行了充分的再血管化。 图为手术现场 经过一系列紧张而有序的操作过后,老申的心脏逐渐恢复红润,再次有力地搏动起来。就在大家稍松一口气时,意想不到的情况发生了…… “滴……滴……滴……”监护仪发出刺耳的报警声,麻醉师立即报告牛志高:患者发生室颤了! 突如其来的情况并没有影响医护团队的节奏,牛志高当机立断给予电除颤、利多卡因静推,随即患者恢复窦性心律,止血缝合后转入我院心外科重症监护室。 03 全力救治 为患者托起生的希望 完成手术,本以为一切都会往好的方向发展。然而术后的突发状况,却没有给医护人员片刻休息的机会。 由于本身心功能较差,还伴有多种基础性疾病,加上手术时间比较长,老申的心脏承受不了如此的重创,术后心跳软弱无力,出现了严重的低心排综合征! 低心排综合征 低心排综合征,是心脏外科最严重的生理异常,是导致术后病人死亡的主要原因之一。这主要是因为心脏排血量下降而出现人体多脏器灌注不足、组织缺氧的复杂病理生理变化。此时,药物已经不能维持正常循环水平了,只有机械辅助才可以维持有效循环。 牛志高马上联系首都医科大学附属北京朝阳医院派驻我院专家张进,他是我院重症医学科执行主任,也是危重症救治的专家。 张进当机立断,决定对老申行主动脉内球囊反搏术(IABP)。这是一种机械性辅助循环,通过物理作用,提高主动脉内舒张压,增加冠脉供血和改善心肌功能。 图为首都医科大学附属北京朝阳医院派驻我院专家张进到病房查看老申情况 事实证明,这一处置非常及时,老申血压明显回升,药物用量逐渐下降,各项代谢指标趋于正常。在心外科团队的密切监护下,老申的心肺功能逐渐恢复,术后第7天,撤除气管插管,术后第10天,顺利出院。出院时,劫后余生的老申握着医护人员的手,激动之情溢于言表。 牛志高表示,依托医院综合救治实力与和平-朝阳的技术对口帮扶,今后心脏大血管外科将努力救治越来越多的复杂、高风险病例,为患者的生命安全和身体健康保驾护航。 治疗“心”病 激活“心”动力 和平医院倾“心”用情 砥砺前行! 责编 | 李 鑫 初审 | 李苗睿 复审 | 刘 娟 终审 | 韩晓晶 





