中国基层网讯(通讯员:李延娜 曹海燕)一面锦旗 一份信任,外科病区再次收获锦旗两面!
鲜红的锦旗,是患者对医护人员工作的肯定和赞许。
“湛术仁心,黄龙华佗”“医德高尚情暖人间,医术精湛尽职尽责”。近日,两位在我院外科病区术后康复出院的患者家属,先后将承载着全家人感激之情的鲜红锦旗送到外科医护人员手中。“各位医护人员,真心感谢你们给我母亲重生机会,感谢住院期间全科人员对我母亲无微不至的关怀,你们的精心治疗,让我母亲可以重树生活信心和正常人一样生活,今天我代表家人特意定做了一面锦旗送来,请你们务必收下”,家属紧紧拉着方主任的手激动地连连道谢。
经皮椎体成形术全新展现
腰椎骨折是由外伤或病理等原因,破坏了腰段脊柱骨质的完整性或连续性所导致的疾病。该病是一种比较常见的脊柱损伤疾病。主要表现为腰部畸形、腰部疼痛、腰背部肌肉痉挛、腰部活动受限等症状。
病例一:
患者女,78岁,2023年3月不慎摔倒致胸腰背部疼痛,翻身、弯腰、下地活动严重受限。入院后X线检查示:腰1椎体压缩性骨折,结合患者具体情况,给予综合评估,给予微创经皮椎体成形手术,手术效果满意。2023年8月,患者再次不慎摔伤,致胸11椎体骨折,有了第一次微创手术经历,患者入院后果断选择微创经皮椎体成形手术治疗,手术顺利,达到预期效果,术后患者恢复较好,经过外科医护团队精心治疗和优质护理,患者顺利出院。患者及家属对整个就医感受很是满意,特送上锦旗向医务人员表示感谢。


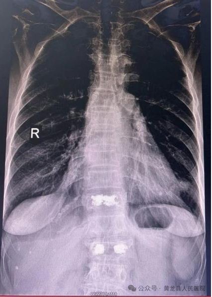
术前MRI 和术后X线影像图片
“经皮椎体成形术”此项手术操作精细,术中切口小,创伤出血少,且无需广泛切开肌肉韧带等软组织,从而避免了肌肉软组织剥离过多所导致的迟发性脊柱不稳。由于手术创伤小,术后患者恢复快,可以早期下床活动,对病人术后的功能锻炼和恢复提供了有利的条件,很大程度减少了病人痛苦。

病例二
患者女,88岁,因病理性骨质疏松导致胸腰背部疼痛,翻身、弯腰、下地活动严重受限。入院后行X线检查示:胸椎体压缩性骨折(胸11)。


术前术后X线影像
术中最大限度保留了腰背肌肉的完整性,减少患者术后疼痛、手术出血和切口感染等手术并发症,同时大大缩短了患者康复时间。术后第1天,患者胸腰部疼痛显著缓解,不仅能自行完成床上翻身活动还可以下地活动,达到预期效果,术后第2天出院,恢复生活自理能力。患者及家属对手术治疗效果非常满意,向方继荣主任及外科全体医护人员多次表示感谢,出院后特送来锦旗一面再次表示感谢。

随着微创技术进一步推广,黄龙县人民医院外科经皮椎体成形技术成熟,为诸多符合微创椎体成形患者解决了病痛,得以快速康复,快速回归正常生活。
一面面锦旗,一份份肯定,锦旗上的寥寥数语,看似简单,却承载着患者对外科全体医务人员工作的认可,以及对黄龙县人民医院医疗技术水平和优质服务的肯定。方继荣主任表示,在今后的工作中,外科全体医护人员将继续以守护患者健康为己任,让医院的服务更贴心,患者更舒心,为患者提供更加优质的医疗护理服务!

专家介绍
方继荣:中共党员、临床党小组组长;副主任医师,黄龙县人民医院外科主任。
延安市医学会骨科学会专业委员会常务委员、延安市骨科联盟副主席、陕西省保健协会骨科疾病防治专业委员会常务委员、陕西省保健协会脊柱脊髓专业委员会委员、陕西省保健协会乳腺疾病专业委员会委员、延安市骨质疏松专业委员会委员、延安市数字骨科专业委员会委员、延安市医学会运动医学专业委员会委员、黄龙县残疾人鉴定专家组成员。
普外方面:胆囊切除术、胆总管探查术、无张力疝气修补术、腹腔镜胆囊切除术的适应症及围手术处理、大面积烧伤的诊治经验丰富。
骨科方面:在急诊创伤救治、高能骨折和骨折并发症的治疗上积累了丰富的经验, 微创四肢骨折内固定术、四肢关节周围骨折解剖复位固定技术;骨折不愈合的骨移植及重建;周围神经损伤的手术修复及功能重建、简单的髋膝关节置换术,并使患肢功能得到满意的恢复,无相应并发症发生。颈肩腰腿痛的综合治理,达到患者满意的效果。
健康咨询热线
外科门诊
0911-3395181
外科医办室
0911-3317131
外科护办室
011-3317154