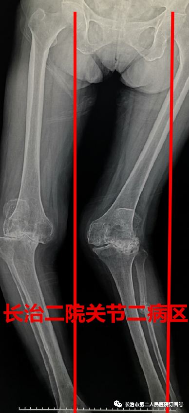
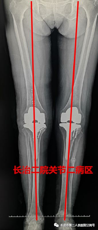
走路 在常人来看 是件多么轻松的事情 可对于李老太来说 近日,长治二院骨科关节二病区来了一位严重类风湿性关节炎患者,疾病困扰了她13年,日常行走已经很困难了。 长治二院骨科关节二病区 雷晓宇医师团队妙手回春 完美实施双膝关节置换术 随即轻松行走! 对李老太来说 走路成为了一种享受 今年69岁的李老太在13年前双膝先后出现疼痛无力的症状,但随着年龄的增长病情逐年加重,双腿关节等处都严重变形。双膝并拢时成“顺风腿”畸形,行走也变得相当困难,行各种保守治疗方案效果差,双膝疼痛行走受限,严重影响了日常生活。 图为:术前MRI及CT 图为:术后X片 据李老太的主管医生朱彦伟副主任医师介绍“重度外翻性膝行膝关节置换,由于其软组织不平衡及存在严重的骨缺损,手术难度极高,对于关节外科医师而言,绝对是充满挑战性事件! 入院后,骨科关节二病区雷晓宇医师团队术前进行仔细的手术规划,充分的术前准备,为李老太制定个性化治疗方案,对存在不同严重畸形的双膝分别行人工膝关节表面置换术。术后第二天就可以在助行器的保护下下床行走。经过精心的康复治疗,目前李老太的行走步态正常,生活质量明显提高。科室医护人员对李老太住院期间的精心治疗和护理,更是让老人及家属感受到了长治二院医护团队的专业素养和暖心服务。 对于像李老太这样的类风湿性关节炎患者,长治二院骨科关节二病区雷晓宇主任特别提醒:一旦出现疼痛、关节畸形、保守治疗无效后,应尽早行膝关节置换。 朱彦伟 关节二病区副主任医师 朱彦伟医师:周四全天门诊 电话:158 3551 0903 ■ 直通大医院丨9月18日长治二院关节外科一病区主任张鹏为您讲解《股骨头坏死的预防与诊治》 ■ 皮肤病患者的福音——又一“名医工作室”落户长治二院!!! ■ 长治二院特邀北京大学第一医院皮肤科教授陈喜雪来院指导讲学 供 稿丨朱彦伟 视 频 | 朱彦伟 编 辑丨张静晗 审 核丨雷 赫















