大骨节病Kashin-Bech disease(简称KBD)是一种以侵害人体关节软骨、骺板软骨为主,导致软骨坏死,最终骨端膨大、变形的骨关节病,主要发生生于儿童和少年。
在我国,大骨节病主要分布在东北至西藏(阿坝州)的一个狭长高寒地带。而我们本次所支援的阿坝县更是大骨关节病的重灾区,在这里,几乎所有的中老年人都有不同程度的骨关节病。


近日,我们对口帮扶的阿坝县人民医院外科收治了一位特别典型的大骨节病的病人。患者是一位70多岁的男性病人,双膝关节疼痛了10多年,最近这2年他几乎丧失了行走能力,双膝一点都不能弯曲。
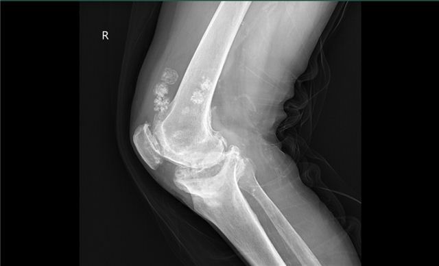
经过检查,结果提示该患者双膝重度骨关节炎,内翻畸形,内翻约20度,内侧平台塌陷约2cm。诊断很明确,双膝骨性关节炎。


术前X片
由于患者右膝关节内侧平台塌陷比较多,如果选择常规截骨骺,内侧平台仍然有较大的缺损,膝关节置换是唯一的治疗方法。庆幸的是,“在家”时,我曾跟着我的师傅蔡炜处理过类似的病人,所以在面对这类病人的时候,现在我可以更优地为患者制定手术方案,也可以更从容、有把握地为患者做好手术。
经过详细的术前规划,手术择期进行。患者的内侧平台缺损通过螺钉打桩来解决,内侧副韧带过紧通过骨性缩容、袖套样剥离、拉花来达到平衡。手术台上的这一幕像极了2年前师傅带我做手术的样子,主刀位的师傅和助手位的我,而如今,看着助手位我带教的徒弟一丝不苟学习的样子,这可能就是帮扶的意义吧,让更多先进的技术在本地生根发芽、枝繁叶茂,最后长成能独立为本地百姓遮风挡雨的“杏林”。
两个小时后,我和我的徒弟顺利完成手术,在手术台上将我所学到的交棒给我的徒弟,希望他在面对非常规手术时能有更多的选择。
术后病人非常满意,以前他畸形的腿变直了,也可以正常弯曲了,可以像正常人一样行走,他还在期待另一侧的手术。


术后X片
转眼之间,阿坝县人民医院的帮扶支援快结束了。这一年,在医院的支持下,带领我的徒弟开展一百余台手术,包含髋关节置换、膝关节置换和各种骨折内固定手术等。新开展了加长柄髋关节置换治疗老年粗隆间骨折、间隙平衡技术在膝关节置换中的应用和抗生素骨水泥治疗慢性骨髓炎等新技术。
除了手术外,在日常查房和门诊时我也会把“在家”学的本领尽可能的交给了我的徒弟。当然他也很争气,如今,他已经能够熟练开展膝关节置换和常规骨折内固定手术了,这会大大降低阿坝县病人外转。
铁打的帐篷流水的兵,希望我们离开后,我们内江市第一人民医院的技术可以继续造福阿坝县人民。
支援人物
