中国基层网讯(通讯员:李延娜 郝雪茹)近日,黄龙县人民医院外科微创手术再添首例,在唐都医院肝胆外科帮扶专家贺小军带领下,我院外科团队顺利完成首例“腹腔镜下肝血管瘤及部分周围肝组织切除术”。本次手术的成功开展,使黄龙县人民医院在肝胆外科微创治疗领域再上新台阶。
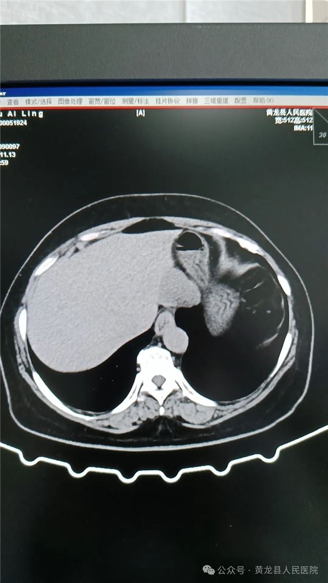
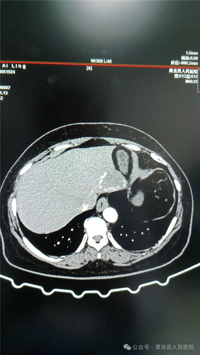
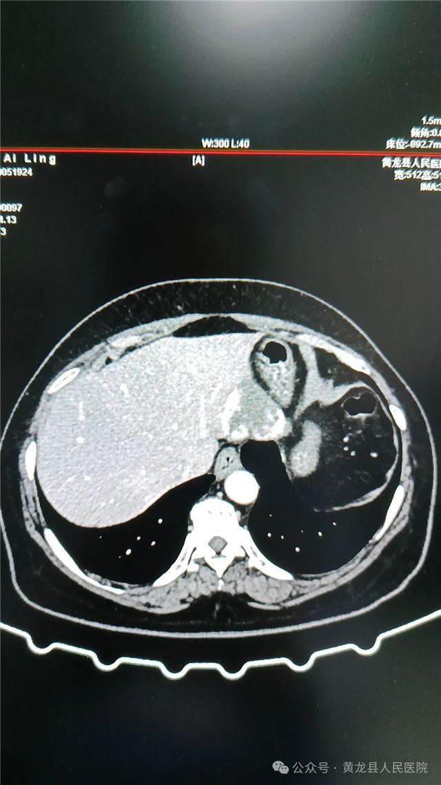
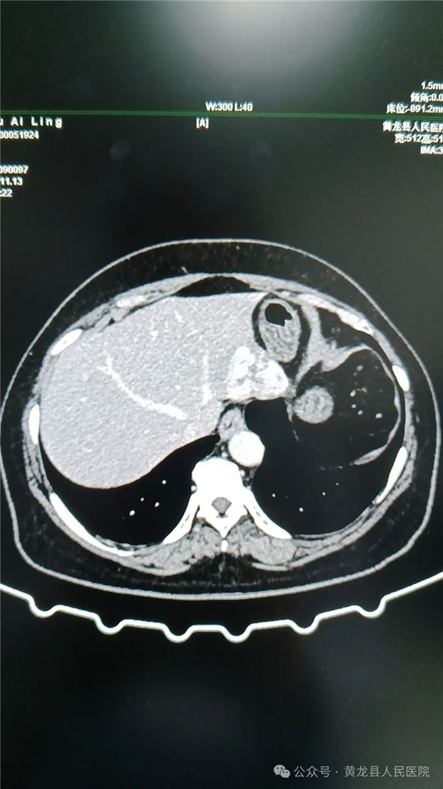
1,术前上腹部CT(平扫、增强)




患者女,58岁,在体检时发现肝占位性病变,经进一步检查后确诊“肝血管瘤”。
临床党小组组长、外科主任方继荣,唐都医院专家贺小军组织外科医务人员为患者进行全面细致评估,开展多次讨论制定出具体周密手术方案,将治疗方案详细告知患者及家属征得同意后,在手麻科协助下,外科专家团队顺利为患者实施“腹腔镜下肝血管瘤及部分周围肝组织切除术”,手术顺利,术中出血少。病理结果回报:(肝)海绵状血管瘤。术后患者恢复快,无明显疼痛,短时间内即可下床活动并进食。目前,该患者已康复出院,对手术效果非常满意,并对外科医务人员表示感谢。
2,术中

术中探查


术后切除部分肝组织约4.5×4cm


肝血管瘤作为肝脏最常见的良性肿瘤之一,虽然癌变几率极低,但当瘤体较大时,可能对周围组织和器官产生压迫,引发一系列临床症状,如吞咽困难、胃食管反流、阻塞性黄疸、右上腹隐痛等,严重影响患者的生活质量。传统的开腹手术虽然能够有效切除病灶,但手术创伤大、恢复时间长,为患者增添痛苦。本次采用的“腹腔镜下肝血管瘤及部分周围肝组织切除术”,则完美解决了这一问题。该技术通过腹壁上的微小切口(仅为烟头大小),在腹腔镜的直视下进行操作,不切断肌肉神经,大大减少了手术创伤及术后并发症。同时,术中超声的精准定位确保了病灶的完整切除,减少了术中风险。该手术的优势不仅在于创伤小、恢复快,还在于术后疤痕小、美观度高。这对于现在越来越追求生活品质的患者来说无疑是一个巨大的福音。此外,该手术还能有效缩短住院时间,降低医疗费用,减轻患者及家庭的经济负担。
方继荣主任表示,随着医疗技术的不断进步,外科团队将继续秉承精益求精、勇于创新的精神,不断提升微创技术水平,为患者提供更加安全、有效、便捷的医疗服务。
如果您有肝胆疾病困扰
请及时来院就诊
健康热线
医办室:0911-3317131
护办室:0911-3317154
黄龙县人民医院承诺
尊敬的患者朋友,黄龙县人民医院承诺:您所有疾病的检查、治疗和预防,我院均可通过各种方法为您排忧解难,无需舍近求远、舟车劳顿、排队等候,我院将竭尽全力为您提供优质医疗服务,请您相信我们。