中国基层网讯(通讯员:李延娜 郝雪茹)近日,黄龙县人民医院泌尿外科腔镜手术再传佳讯,在临床党小组组长、外科主任方继荣和泌尿外科刘涛主治医师带领下,成功实施了经后腹腔镜下右肾切除术。手术的顺利完成标志着我院泌尿外科肾肿瘤手术治疗水平达到新高度。

患者男性,70岁,因“发现右肾肿物1年余”收住于我院外科,经查体及相关检查后诊断为:右肾肿瘤。为尽早解除患者疾病困扰,方继荣主任迅速组织泌尿外科、手麻科、普外科等多学科进行会诊,对患者的病情进行了全面而深入的评估。最终确定详细周密手术方案,将患者病情及治疗方法告知患者及家属征得同意后,由我院泌尿外科刘涛主治医师实施手术。
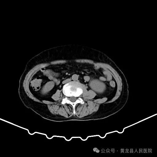
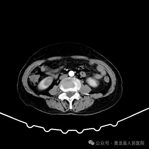
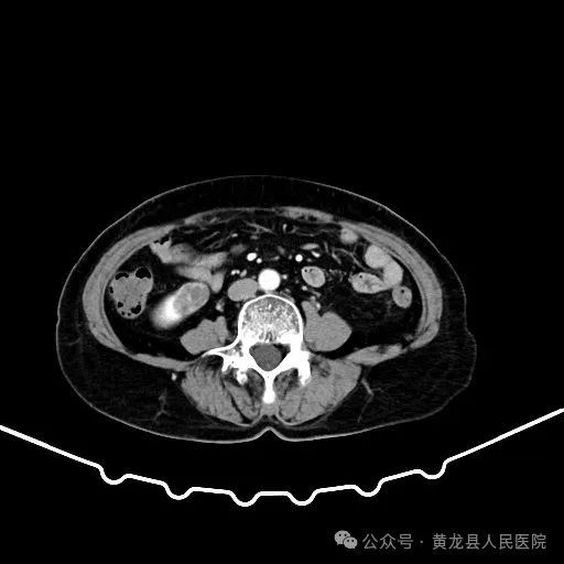
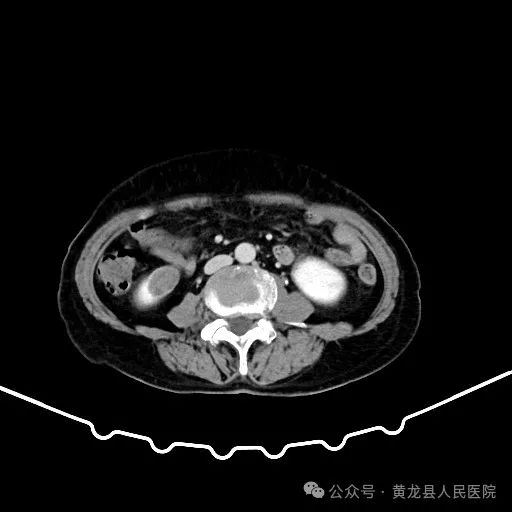
双肾增强CT




双肾VR




在全身麻醉下为患者行经后腹腔镜下右肾切除术。手术顺利,术后患者生命体征平稳,第二天可下床活动,患者目前已康复出院。患者及家属对手术效果很是满意,整个就医感受良好,同时对外科医护人员精心治疗和优质护理多次表示感谢。
我院泌尿外科刘涛医师学成归来后,截止目前已完成肾囊肿、肾部分切除术、前列腺增生术、泌尿系结石等多例手术,均达到良好治疗效果,受到患者一致好评!
健康科普
腹腔镜肾部分切除术具有切口小、创伤小、恢复快、疼痛轻等优点。在切除肿瘤的同时,最大限度的保留肾功能,提高患者的生活质量,降低了肾功能损害的风险。手术效果良好,术后恢复快, 真正实现了我院泌尿外科小到结石, 大到肾脏切除手术均能做到微创化的技术优势,也体现了我院坚持为广大患者提供更快、更安全、更微创且无痛的服务理念, 让病患在“家门口”就能看好病。
如果您也有以上问题的困扰
请及时到黄龙县人民医院
综合住院楼2楼外科就诊
医办室:0911-3317131
护办室:0911-3317154

黄龙县人民医院承诺
尊敬的患者朋友,黄龙县人民医院承诺:您所有疾病的检查、治疗和预防,我院均可通过各种方法为您排忧解难,无需舍近求远、舟车劳顿、排队等候,我院将竭尽全力为您提供优质医疗服务,请您相信我们。

刘 涛:泌尿外科主治医师,本科学历;从事泌尿外科工作10余年,凭借良好的医德和精湛的医术被选为陕西省中西医结合学会第一届泌尿外科专业委员会委员;陕西省医学会泌尿外科分会委员;以第一作者在国内著名期刊发表论文2篇,先后两次前往交大一附院泌尿外科学习深造。在西安秦皇医院组建泌尿外科以来,平均每年参与完成三、四级手术200余台,均达到良好治疗效果。熟练掌握了泌尿外科常见病多发病的诊治,擅长腹腔镜肾脏肿瘤根性治疗;腹腔镜下肾部分切除术;肾囊肿去顶减压术;膀胱肿瘤及前列腺增生微创手术;女性压力性尿失禁的微创治疗;腹腔镜精索静脉高位结扎及小儿隐匿阴茎矫形术等;经皮肾镜钬激光碎石取石,输尿管硬镜及输尿管软镜钬激光碎石等泌尿系结石的微创治疗,被誉为“结石克星”。